PerioQuest
PerioQuest es un test de autoevaluación de la predisposición a la periodontittis para la población general, ofreciendo información sobre la misma y un vídeo mostrando cómo podemos examinar la movilidad de nuestros dientes.
El test PerioQuest se ha elaborado utilizando la información de la base de datos de PerioProject , un modelo predictivo de pérdida dentaria para profesionales de la odontología. Su finalidad es asignar el pronóstico periodontal, anticipando lo que le pasará a los dientes de personas que se han recibido tratamiento y se revisan.
¿Qué significa Perioquest para la problación general?
La información que aporta Perioquest da la respuesta a lo que muchos pacientes quieren saber: si van a perder los dientes.
La manera tradicional de hacer el pronóstico profesional era basarse en unos índices para establecer varias categorías pronóstico: bueno, reservado, malo, etc., pero su grado acierto era bastante limitado. El pronóstico reservado venía a decir que un diente podría perderse o no, sin concretar más. Frente a esta categoría de escaso significado, la predicción de Perioquest concreta qué dientes podrían perderse y aproximadamente cuando, acertando en un alto porcentaje de los casos (81.4%). En base a esta información, es posible tomar la decisión más acertada en casa caso.
Perioquest representa una alternativa objetica y fiable para tomar decisiones de enorme relevancia, como la extracción de todos los dientes para reponerlos sobre implantes. Ante este paso tan importante, es lógico contar con una herramienta objetiva y fiable que incorporar junto con el criterio del profesional, limitado a la propia experencia muchas veces o a la preferencia por un tratamiento determinado
La enfermedad periodontal
La enfermedad periodontal es una de las enfermedades crónicas más frecuente de los seres humanos. Las bacterias que se acumulan sobre la encía provocan inicialmente inflamación superficial llamada gingivitis. Si las bacterias penetran en el surco y profundizan, el proceso inflamatorio destruye progresivamente los tejidos que sujetan los dientes. En ausencia de tratamiento la consecuencia final es la pérdida de los dientes.

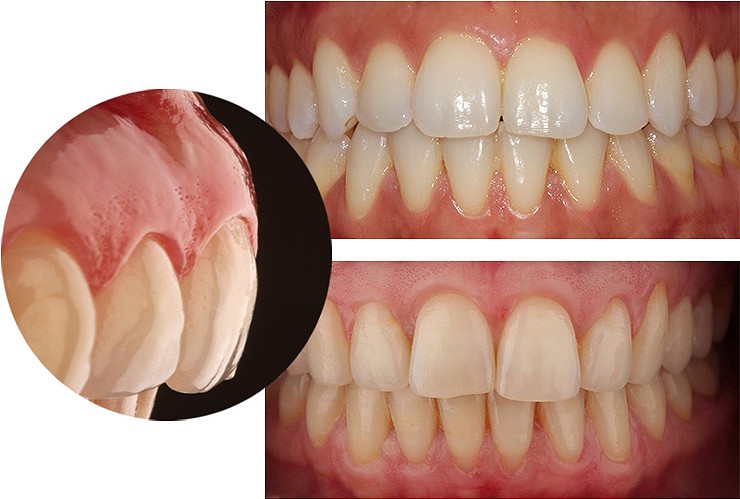
El margen de la encía sana se adapta fielmente a la forma del diente, con forma de triángulo en los espacios entre los dientes (papila interdental)

El margen de la encía está ligeramente separado del diente, uno o dos milímetros, formando el surco gingival. Su profundidad se mide al introducir la sonda periodontal. El cepillado diario pretende eliminar las bacterias que se acumulan en el surco.

Si las bacterias penetran en el interior del surco, se destruye el epitelio interno de la encía y comienza la enfermedad, destruyéndose progresivamente el conjunto de tejidos que sujetan el diente.

Los tejidos que sujetan el diente forman el periodonto, que incluye la encía, la superficie de la raíz dentaria (R), el hueso alveolar donde se aloja la raíz (B) y el ligamento que une la raíz al hueso (L)
Manifestaciones
Aparece y evoluciona dando pocas señales al principio, como el sangrado de las encías y la inflamación, pudiendo aumentar de volumen o bien desaparecer en parte, viéndose la raíz (recesión gingival). También es frecuente la sensibilidad, la aparición de huecos al perderse la encía entre los dientes (pailas interdentales) e incluso la separación de los dientes.
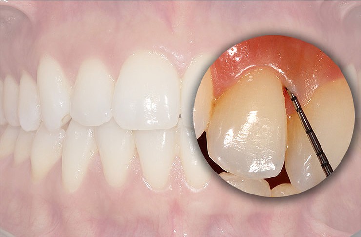
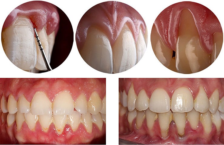
Al iniciarse la enfermedad el surco gingival entre el diente y la encía se hace más profundo, formándose la bolsa periodontal, cuya profundidad puede medirse con la sonda. La encía puede aumentar al inflamarse, o bien perderse (recesión gingival), sobre todo si la encía es fina. Como se muestra en estos dos ejemplos de periodontitis leve, es habitual que coincidan zonas de aumento de encía y de r ecesión gingival.

Diagnóstico
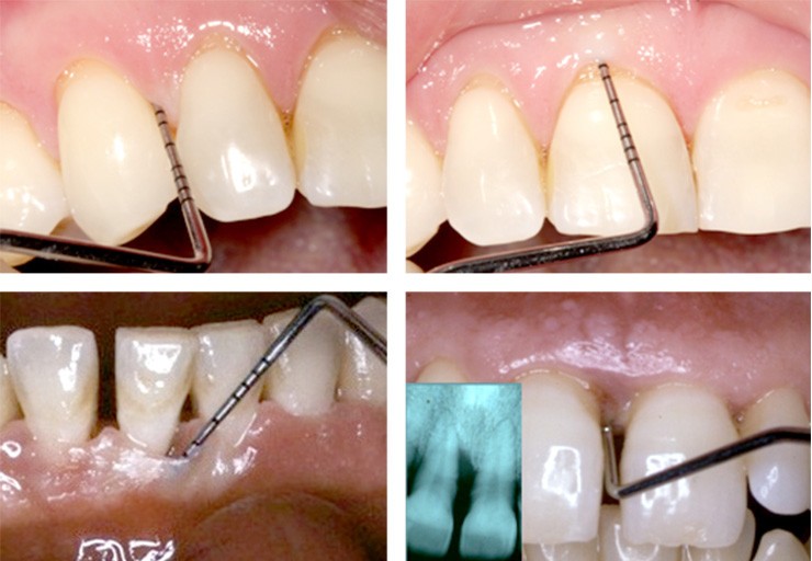
El diagnóstico temprano de la enfermedad es importantísimo, ya que ésta da pocas señales y puede pasar desapercibida. Cuando la persona percibe la movilidad de sus dientes, la enfermedad suele estar ya avanzada. El diagnóstico se hace con mediciones de la pérdida de los tejidos de sujeción de los dientes. La pérdida del hueso de sujeción se mide con radiografías. La pérdida de la encía se valora con el sondaje periodontal, que mide la cantidad de encía que se ha perdido (recesión gingival) y sobre todo la cantidad de encía que se ha despegado (bolsa periodontal). Otros parámetros de diagnóstico son al sangrado de la encía, la movilidad de los dientes y las pruebas para identificar el tipo de bacterias presentes.
En las imágenes el sondaje confirma que hay un surco de uno a dos mm sin existir bolsa periodontal. En la imagen inferior izquierda comienza a formarse una bolsa. En la siguiente imagen hay una bolsa muy pr ofunda, coincidiendo con una pérdida importante del hueso que sujeta el diente

Tratamiento
El tratamiento básico se realiza en el interior de esta bolsa periodontal y consiste en eliminar las bacterias y el sarro adheridos a la superficie de la raíz. Se realiza con instrumentos pequeños y afilados (Raspado y alisado radicular) que caben en el interior de la bolsa periodontal, puesto que la encía está despegada del diente. Existen alternativas complementarias como la cirugía para asegurar la limpieza en las bolsas más profundas, disminuir la profundidad de las bolsas o regenerar el tejido perdido.
La clave del éxito a largo plazo es la revisión de mantenimiento periodontal periódica, cada 3 a 6 meses, dependiendo de la gravedad y la predisposición. Incluso cada 12 meses si se confirma estabilidad a largo plazo. Esta revisión consiste en medir nuevamente las bolsas y la inflamación y eliminar las bacterias que hayan podido introducirse en su interior antes de que vuelvan a producir daño.
El pronóstico periodontal
Conocer el pronóstico periodontal o el futuro de los dientes afectados es importantísimo para el profesional y sobre todo para el paciente. Ese es el objetivo de PerioProject , creado para los profesionales de la odontología para asignar el pronóstico de los dientes que han sido o van a ser tratados por enfermedad periodontal. Este modelo predictivo calcula la probabilidad de perder cada diente, permitiendo establecer expectativas de supervivencia dentaria, es decir, cuánto pueden durar los dientes afectados.
Según esta información, el profesional cuenta con una herramienta objetiva y fiable que le ayude a elegir el plan de tratamiento más oportuno. Un buen ejemplo es, en los casos más avanzados, la decisión de extraer todos los dientes y reemplazarlos con implantes. Una decisión tan importante debería tener el mejor conocimiento posible del pronóstico de los dientes. En el caso opuesto, conocer que el pronóstico va a ser bueno, da tranquilidad al paciente, evitando la incertidumbre.
El pronóstico periodontal suele ser bueno a largo plazo para la mayoría de pacientes. Solo un porcentaje reducido de pacientes que cumplen con sus revisiones de mantenimiento podría evolucionar mal y perder más dientes, al estar presentes factores negativos como tener la enmfermedad excesivamente avanzada, el tabaquismo, el bruxismo, etc.
Test de Autoevaluación
¿Puedo saber si tengo la enfermedad periodontal y la posibilidad de perder los dientes? Aunque el único diagnóstico válido y definitivo lo hace el profesional, es posible conocer su tendencia a la enfermedad y estimar el riesgo de perder dientes en el futuro.
La autoevaluación PerioQuest es muy sencilla y puede darle una información muy valiosa. Debe cumplimentar las casillas de la forma más fiel posible y el programa estimará la conveniencia o urgencia de un diagnóstico y pronóstico profesional.
Autoevaluación

Movilidad dentaria
Esta prueba es especialmente importante. Siguiendo las instrucciones del video y con la ayuda de otra persona, puede hacer una valoración más fiable de lo que pueda pensar.
Ver videoLa forma que habitualmente utiliza la gente para ver si hay movilidad, es la menos fiable: meter los dedos en la boca, sujetar el diente e intentar moverlo. La forma más adecuada es así: utilice dos instrumentos rígidos y de punta fina. Intente mover el diente en una dirección con un extremo y luego en la otra dirección con el otro extremo.
Evaluación
Categoría 0: Los dientes pueden tener una mínima movilidad, casi imperceptible.
Categoría 1: Si el diente se desplaza alrededor de un milímetro.
Categoría 2: Si se desplaza entre uno y dos milímetros.
Categoría 3: Si se mueve más, incluso hundiéndose al apretarlo dentro de la encía.
Ante la menor movilidad debe acudir a su dentista.
Las categorías 2 y 3 pueden reflejar la presencia de enfermedad grave.
